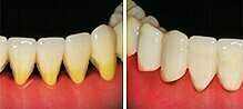
La gingivite est le préalable au développement des parodontites.
Blog - Page 4
Une mobilité des dents signe une perte du support parodontal.
Au delà d’un manque d’hygiène dentaire, d’autres facteurs génétiques, environnementaux ou locaux, peuvent être à l’origine des maladies parodontales. Ce sont ces facteurs qui expliquent le passage de la gingivite à la parodontite.
La présence de plaque dentaire est la seule responsable des pathologies du parodonte, à savoir gingivite et parodontite.
C’est un cliché radiographique sur lequel sont visibles toutes les dents et les articulations temporo mandibulaires
La notion d’urgence existe dans la dentisterie. Personne n’est à l’abri d’un accident pouvant toucher les dents ou d’une violente douleur dentaire que les habituels antalgiques et autres anti-inflammatoires n’effacent pas. C’est dans ces cas là, appelé situation d’urgence dentaire qu’interviennent les dentistes de garde.
Découvrez notre collection de fiches pédagogiques





